Igiene Orale
Chiamaci per una consulenza GRATUITA
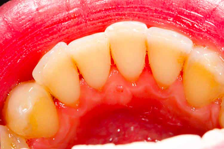
Igiene Orale Professionale
L’igiene orale professionale è il primo alleato nella prevenzione di molte patologie e problematiche che possono insorgere nel cavo orale.
L’igiene orale “domestica” (spazzolino, filo interdentale, colluttorio) aiuta a tenere sotto controllo i problemi dentali, ma spesso non è sufficiente.
Placca batterica e tartaro si depositano sulle superfici dentali e danno vita a processi infiammatori: carie, gengiviti e nel peggiore dei casi portano alla perdita dei denti.
Un’igiene orale professionale effettuata con regolarità presso il nostro studio, è, mediante l’utilizzo di appositi strumenti, in grado di eliminare gli accumuli di placca e tartaro in profondità (detartrasi o ablazione del tartaro); unita ad una corretta igiene domestica aiuta a mantenere denti sani e prevenire l insorgere di malattie dentali.




Consigli per il Mantenimento
- Programmare la Pulizia Denti Professionale con Cadenza Semestrale;
- Utilizzare lo spazzolino 3 volte al giorno per almeno 3 minuti;
- Effettuare dei risciacqui con Colluttorio 1/2 volte al giorno per almeno 1 minuto;
- Passare il filo interdentale 1/2 volte al giorno.
Creare una routine con orari ben definiti può aiutarti a rendere la procedura di mantenimento un’abitudine consolidata. Ricorda inoltre di limitare gli zuccheri!