Protesi Dentale
Chiamaci per una consulenza GRATUITA
Fissa, Mobile o Combinata
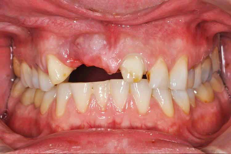
La protesi dentale è un manufatto utilizzato per sostituire la dentatura naturale persa (edentulia), compromessa per motivi funzionali o correggere anomalie estetiche. Tra le diverse tipologie di protesi dentale troviamo:
- Protesi Fissa: Sostituisce gli elementi dentali con manufatti definitivi. Quando sostitutiva di un solo dente si parla di Faccette o Corone, mentre si parla di Ponti quando sostitutiva di più elementi dentali. Può essere su impianti (vedere Implantologia), ove singoli elementi dentali o intere arcate sono ancorati in modo definitivo a pilastri in titanio;
- Protesi Mobile: Sostituisce parzialmente o totalmente un’arcata dentaria. Quando parziale, può essere ancorata ai denti naturali (residui). Completamente rimovibile dal paziente per svolgere le quotidiane operazioni di igiene orale;
- Protesi Combinata: Sostituisce gli elementi dentali con manufatti rimovibili, seppur ancorati a perni artificiali.
Before After 



Before After 



La Protesi Dentale Su Misura
Ogni protesi dentale viene progettata in modo tale da garantire una perfetta funzionalità masticatoria e nella fonetica, un’ottima resistenza ai carichi masticatori e all’usura, e un’ottima resa a livello estetico, risultando del tutto simile alla dentatura naturale del paziente.